Table of Contents



Washington University Experience | PERIPHERAL NEUROPATHY | 14 AMYLOID NEUROPATHY | 18A5 Amyloid NP (Case 18) Plastic 16

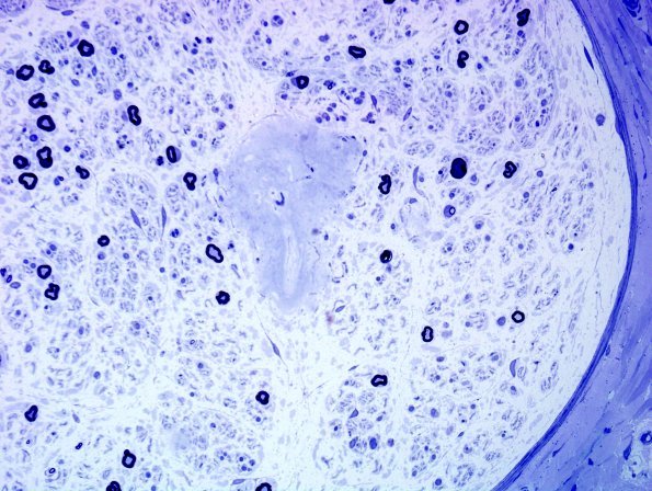
18A5 Amyloid NP (Case 18) Plastic 16
In other fascicles amyloid is more visible. (plastic sections)


Gallery RSS RSS Feed | Archive View | Login | Powered by Zenphoto