Table of Contents



Washington University Experience | PERIPHERAL NEUROPATHY | 14 AMYLOID NEUROPATHY | 18A6 Amyloid NP (Case 18) Plastic 9

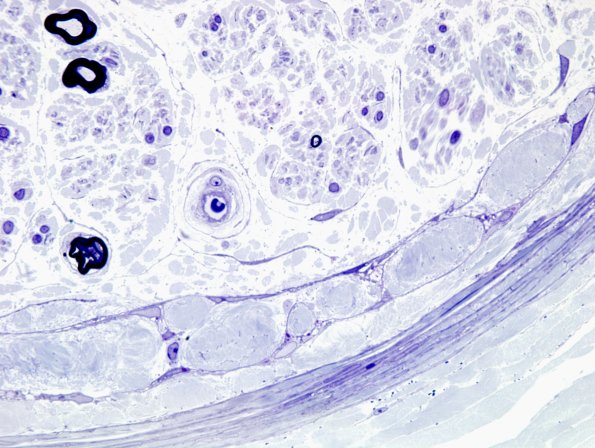
18A6 Amyloid NP (Case 18) Plastic 9
In this case amyloid is prominent in the perineurium. (plastic sections)


Gallery RSS RSS Feed | Archive View | Login | Powered by Zenphoto