Table of Contents



Washington University Experience | PERIPHERAL NEUROPATHY | 14 AMYLOID NEUROPATHY | 19A1 Amyloid NP (Case 19) Anti-Kappa 1

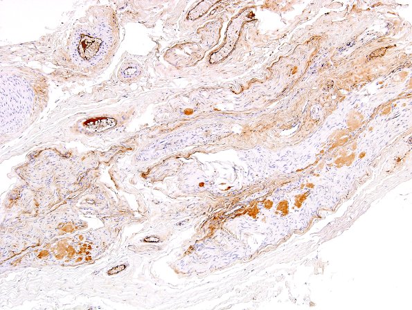
19A1 Amyloid NP (Case 19) Anti-Kappa 1
Case 19 No History ---- 19A1-4 In this case the amyloid is composed of kappa light chains. (Kappa IHC)


Gallery RSS RSS Feed | Archive View | Login | Powered by Zenphoto