Table of Contents



Washington University Experience | PERIPHERAL NEUROPATHY | 14 AMYLOID NEUROPATHY | 19A2 Amyloid NP (Case 19) Anti-Kappa 4

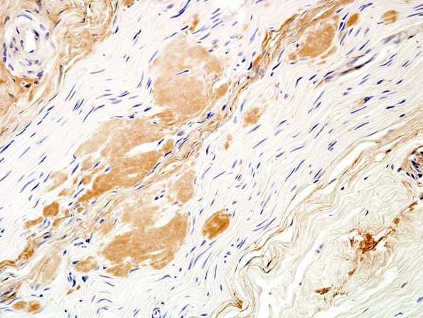
19A2 Amyloid NP (Case 19) Anti-Kappa 4
In this case the amyloid is composed of kappa light chains. (Kappa IHC)


Gallery RSS RSS Feed | Archive View | Login | Powered by Zenphoto