Table of Contents



Washington University Experience | PERIPHERAL NEUROPATHY | 14 AMYLOID NEUROPATHY | 19A3 Amyloid NP (Case 19) Anti-Kappa 3

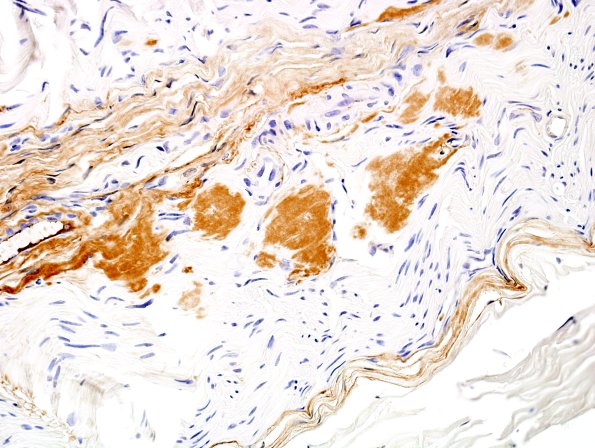
19A3 Amyloid NP (Case 19) Anti-Kappa 3
Endoneurial masses of kappa light chain immunoglobulin. (kappa IHC)


Gallery RSS RSS Feed | Archive View | Login | Powered by Zenphoto