Table of Contents
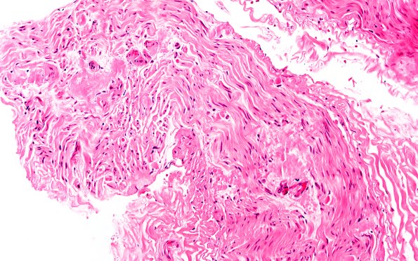
Washington University Experience | PERIPHERAL NEUROPATHY | 14 AMYLOID NEUROPATHY | 1A1 Amyloid (Case 1) H&E 20X 2
1A1-3 There are several patterns of amyloid deposition in the sural nerve. The first is characterized by large amorphous amyloid deposits, many in a perivascular distribution. (H&E)
