Table of Contents
« prev
next »
Washington University Experience
|
PERIPHERAL NEUROPATHY
|
14 AMYLOID NEUROPATHY
|
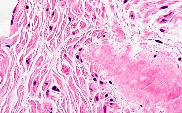
1A3 Amyloid (Case 1) H&E 100X 5
The first is characterized by large amorphous amyloid deposits, many in a perivascular distribution. (H&E)
Image Info
Camera Maker:
Olympus
Camera Model:
DP74
Shutter Speed:
29/516 sec
Metering Mode:
Multi-Spot
Gallery RSS
|
Archive View
|
Login
|
Powered by
Zenphoto