Table of Contents
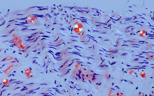
Washington University Experience | PERIPHERAL NEUROPATHY | 14 AMYLOID NEUROPATHY | 1D1B Amyloid (Case 1) CongoRed 40X POL
The starburst amyloid pattern stains strongly with Congo Red and polarizes in a distinctive Maltese cross pattern (1D1B). (Congo Red)
