Table of Contents
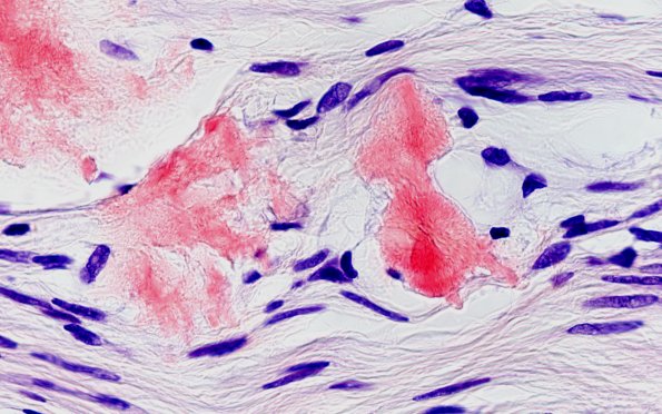
Washington University Experience | PERIPHERAL NEUROPATHY | 14 AMYLOID NEUROPATHY | 1D3A Amyloid (Case 1) CongoRed 100X non-POL
1D2,3A,B Higher magnification images of the starburst pattern of amyloid in this case. (A = Congo Red; B = Congo Red with polarization)
