Table of Contents
« prev
next »
Washington University Experience
|
PERIPHERAL NEUROPATHY
|
14 AMYLOID NEUROPATHY
|
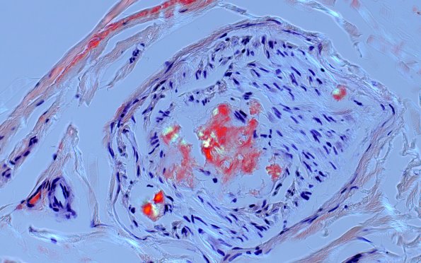
1D5B Amyloid (Case 1) CongoRed 40X POL 4
A second image of the amorphous pattern stained with Congo Red with polarization.
Image Info
Camera Maker:
Olympus
Camera Model:
DP74
Shutter Speed:
43/2000 sec
Metering Mode:
Multi-Spot
Gallery RSS
|
Archive View
|
Login
|
Powered by
Zenphoto