Table of Contents
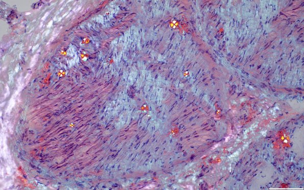
Washington University Experience | PERIPHERAL NEUROPATHY | 14 AMYLOID NEUROPATHY | 1D6B (Case 1) ALH amyloid - CR-P 200xc
Their samples have a greater contribution by the Maltese cross pattern. . (A = Congo Red; B = Congo Red with polarization) Thanks to Drs R Bucelli and A Pestronk for the use of their images.
