Table of Contents
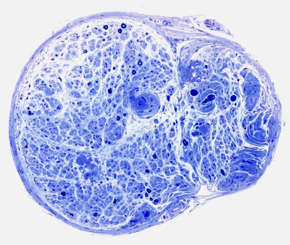
Washington University Experience | PERIPHERAL NEUROPATHY | 14 AMYLOID NEUROPATHY | 1E2 Amyloid (Case 1) Plastic 20X 2
1E2,3 Higher magnifications of image #1E1 showing the prominent axon loss and endoneurial clumps of amorphous and starburst patterns. (Plastic sections)
