Table of Contents
« prev
next »
Washington University Experience
|
PERIPHERAL NEUROPATHY
|
14 AMYLOID NEUROPATHY
|
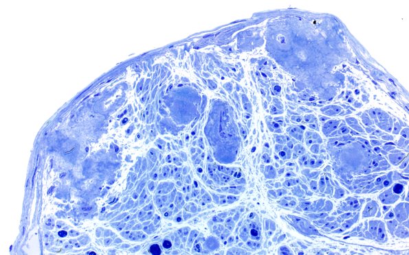
1E5 Amyloid (Case 1) Plastic 60X 1
Clumps of amyloid involve the perineurium as well as the walls of vessels. (Plastic sections)
Image Info
Camera Maker:
Olympus
Camera Model:
DP74
Shutter Speed:
1/250 sec
Metering Mode:
Multi-Spot
Gallery RSS
|
Archive View
|
Login
|
Powered by
Zenphoto