Table of Contents
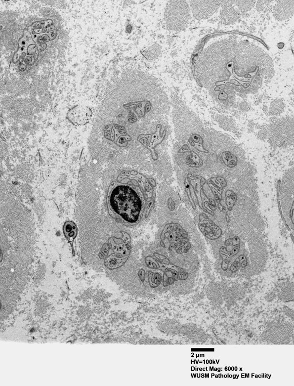
Washington University Experience | PERIPHERAL NEUROPATHY | 14 AMYLOID NEUROPATHY | 1F1 (Case 1) Nerve_019 - Copy
1F1-3 Ultrastructural examination shows extensive loss of myelinated and unmyelinated axons. The residual profiles are for the most part Schwann cell processes, collagen pockets and bands of Büngner. (electron micrographs)
