Table of Contents



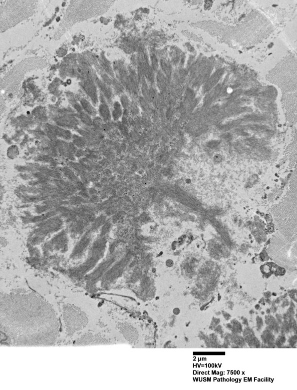
Washington University Experience | PERIPHERAL NEUROPATHY | 14 AMYLOID NEUROPATHY | 1F10 (Case 1) Nerve_053 - Copy

1F10 (Case 1) Nerve_053 - Copy
Additional amyloid aggregates seen at multiple magnifications. (electron micrographs)


Gallery RSS RSS Feed | Archive View | Login | Powered by Zenphoto