Table of Contents
Washington University Experience | PERIPHERAL NEUROPATHY | 14 AMYLOID NEUROPATHY | 1F2 (Case 1) Nerve_020 - Copy
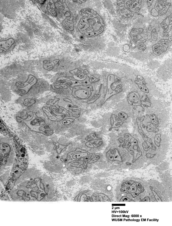
Ultrastructural examination shows extensive loss of myelinated and unmyelinated axons. The residual profiles are for the most part Schwann cell processes, collagen pockets and bands of Büngner. (electron micrographs)
