Table of Contents
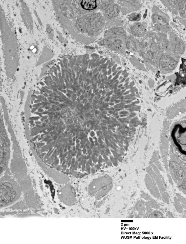
Washington University Experience | PERIPHERAL NEUROPATHY | 14 AMYLOID NEUROPATHY | 1F4 (Case 1) Nerve_073 - Copy
1F4-6 A discrete structured amyloid core whose fibrillary nature is better seen at higher magnifications. Amyloid fibrils are unbranched and approximately 10nm in width. (electron micrographs)
