Table of Contents



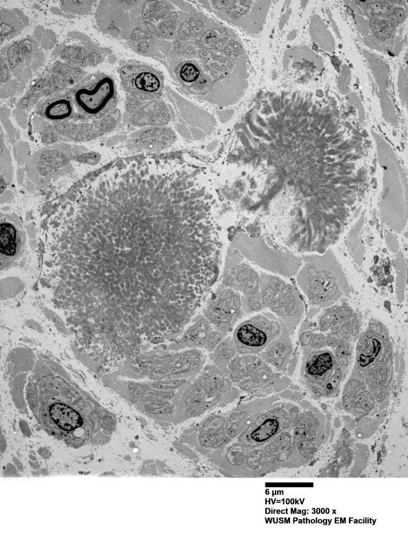
Washington University Experience | PERIPHERAL NEUROPATHY | 14 AMYLOID NEUROPATHY | 1F9 (Case 1) Nerve_067 - Copy

1F9 (Case 1) Nerve_067 - Copy
1F9-12 Additional amyloid aggregates seen at multiple magnifications. (electron micrographs)


Gallery RSS RSS Feed | Archive View | Login | Powered by Zenphoto