Table of Contents



Washington University Experience | PERIPHERAL NEUROPATHY | 14 AMYLOID NEUROPATHY | 1G1 (Case 1) Nerve_058 - Copy

1G1 (Case 1) Nerve_058 - Copy
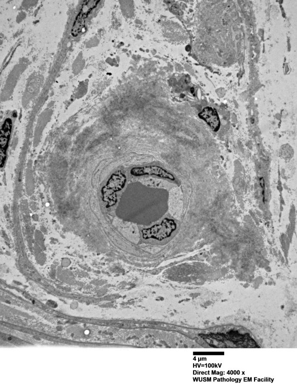
1G1,2 This small endoneurial vessel has a lumpy and irregular pattern of amyloid deposits. (electron micrograph)


Gallery RSS RSS Feed | Archive View | Login | Powered by Zenphoto