Table of Contents
Washington University Experience | PERIPHERAL NEUROPATHY | 14 AMYLOID NEUROPATHY | 1G3 (Case 1) Nerve_068 - Copy
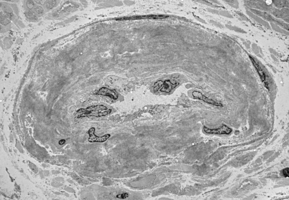
1G3-6 This endoneurial venule has an expanded wall which consists of aggregates of fibrils. (electron micrographs)
