Table of Contents



Washington University Experience | PERIPHERAL NEUROPATHY | 14 AMYLOID NEUROPATHY | 1G4 (Case 1) Nerve_070 - Copy

1G4 (Case 1) Nerve_070 - Copy
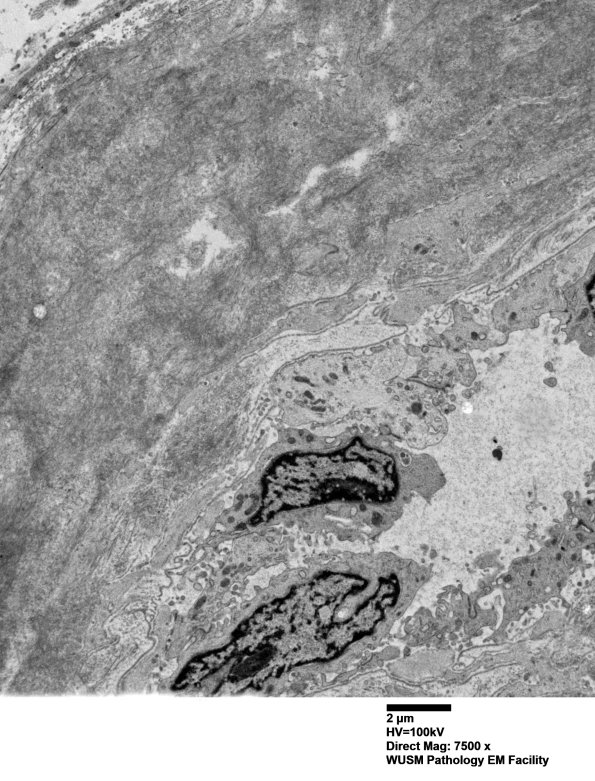
This endoneurial venule has an expanded wall which consists of aggregates of fibrils. (electron micrographs)


Gallery RSS RSS Feed | Archive View | Login | Powered by Zenphoto