Table of Contents
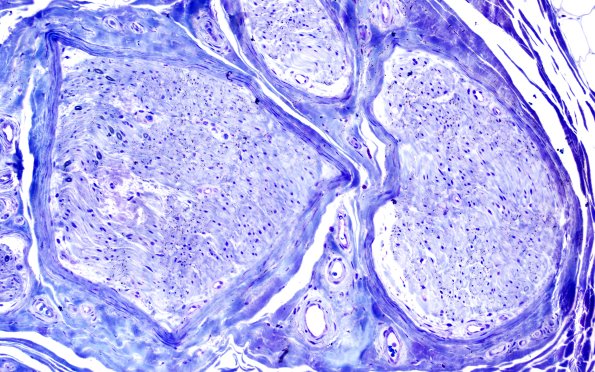
Washington University Experience | PERIPHERAL NEUROPATHY | 14 AMYLOID NEUROPATHY | 21B Amyloid neuropathy (Case 21) Plastic 20X 2
Plastic sections show marked loss of large and small myelinated axons with aggregates diffuse within the endoneurium. No actively degenerating fibers are noted.
