Table of Contents
Washington University Experience | PERIPHERAL NEUROPATHY | 14 AMYLOID NEUROPATHY | 22A1 Amyloid neuropathy (Case 22) H&E 1
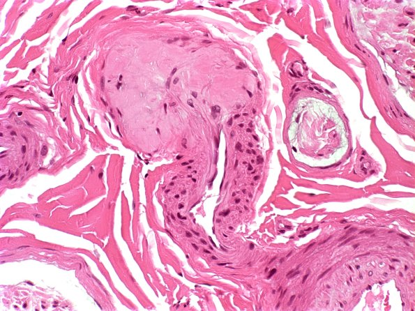
Deposition of amorphous lightly eosinophilic materials consistent with amyloid is immediately adjacent to an apparently intact arteriolar vessel. (H&E)
