Table of Contents
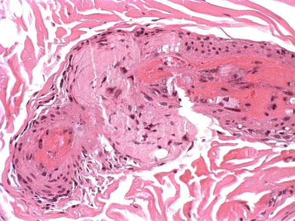
Washington University Experience | PERIPHERAL NEUROPATHY | 14 AMYLOID NEUROPATHY | 22A2 Amyloid neuropathy (Case 22) H&E 2
22A2,3 Deeper sections show the association of the amyloid shown in image #22A1 with fibrinoid vascular necrosis. (H&E)
