Table of Contents
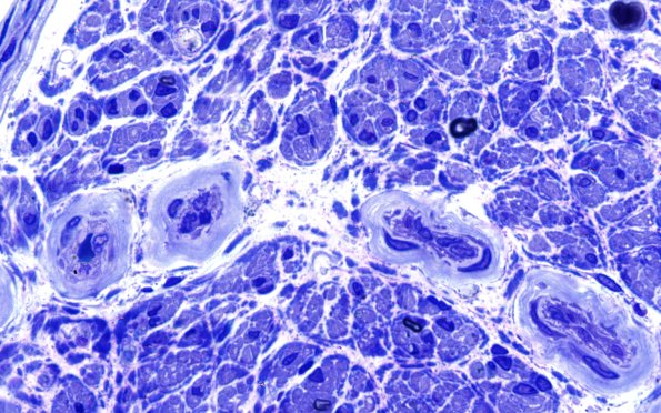
Washington University Experience | PERIPHERAL NEUROPATHY | 14 AMYLOID NEUROPATHY | 22B3 Amyloid neuropathy (Case 22) Plastic 100X 2
Plastic sections show marked loss of large and small myelinated axons with little or no regenerating features. Endoneurial microvasculature shows prominent mural thickening. No intra- or interfascicular variation in the extent of axonal loss is appreciated. (plastic sections) ---- Not shown: Thioflavin-S stain confirms amyloid angiopathy involving both epineurial and endoneurial vessels.
