Table of Contents
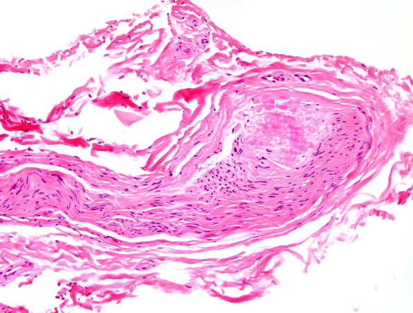
Washington University Experience | PERIPHERAL NEUROPATHY | 14 AMYLOID NEUROPATHY | 23A2 Amyloid Neuropathy (Case 23) H&E 3
Microscopic examination of routinely stained sections of paraffin-embedded right lower leg nerve biopsy shows focal deposition of eosinophilic amorphous material within the endoneurium and in a rare epineurial blood vessel. (H&E)
