Table of Contents
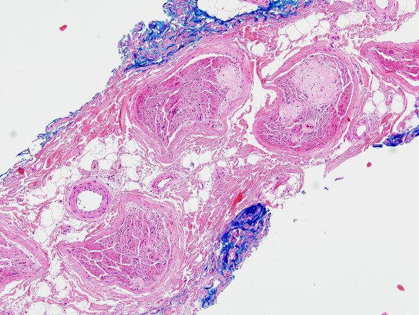
Washington University Experience | PERIPHERAL NEUROPATHY | 14 AMYLOID NEUROPATHY | 2A1 Amyloid Neuropathy (Case 2) H&E 1
Case 2 History ---- The patient is a 57 year-old man with a slowly progressive stocking-glove axonal sensory-motor deficit and progression of distal weakness. Compared to a previous study 3 years prior, nerve conduction tests show that there has been progression, particularly, there is evidence for additional sensory involvement in the upper extremities. EMG demonstrates more severe denervation in distal leg muscles compared to the previous study. ---- 2A1 Microscopic examination of routinely stained sections of paraffin-embedded sural nerve biopsy material show multiple endoneurial collections of eosinophilic material which are occasionally mistaken for Renaut bodies. Acellular eosinophilic deposits are seen within the endoneurium, around blood vessels and within blood vessel walls. There is no evidence of vasculitis or perineurial/intraneural inflammation (H&E)
