Table of Contents
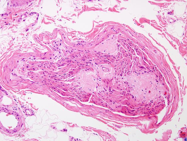
Washington University Experience | PERIPHERAL NEUROPATHY | 14 AMYLOID NEUROPATHY | 2A2 Amyloid Neuropathy (Case 2) H&E 3
2A2-4 Higher magnification demonstrates the solid material in this case which is much different from the wispy collections of delicate processes in Renaut bodies. (H&E)
