Table of Contents
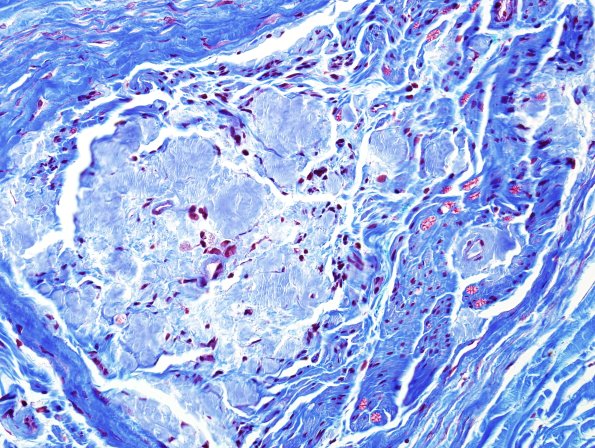
Washington University Experience | PERIPHERAL NEUROPATHY | 14 AMYLOID NEUROPATHY | 2B2 Amyloid Neuropathy (Case 2) Trichrome 4
This trichrome stain again demonstrates differences between endoneurial collagen and amyloid. In some cases the separation of a mixture of collagen and amyloid may complicate the recognition of both. (Trichrome)
