Table of Contents
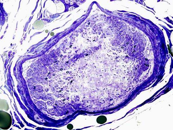
Washington University Experience | PERIPHERAL NEUROPATHY | 14 AMYLOID NEUROPATHY | 2E1 Amyloid Neuropathy (Case 2) Plastic 2
2E1,2 Toluidine blue stained sections of plastic-embedded sural nerve biopsy material shows severe loss of small and large myelinated axons. The amyloid spreads throughout the endoneurium. (Plastic sections)
