Table of Contents



Washington University Experience | PERIPHERAL NEUROPATHY | 14 AMYLOID NEUROPATHY | 2F1 (Case 2) EM002 - Copy

2F1 (Case 2) EM002 - Copy
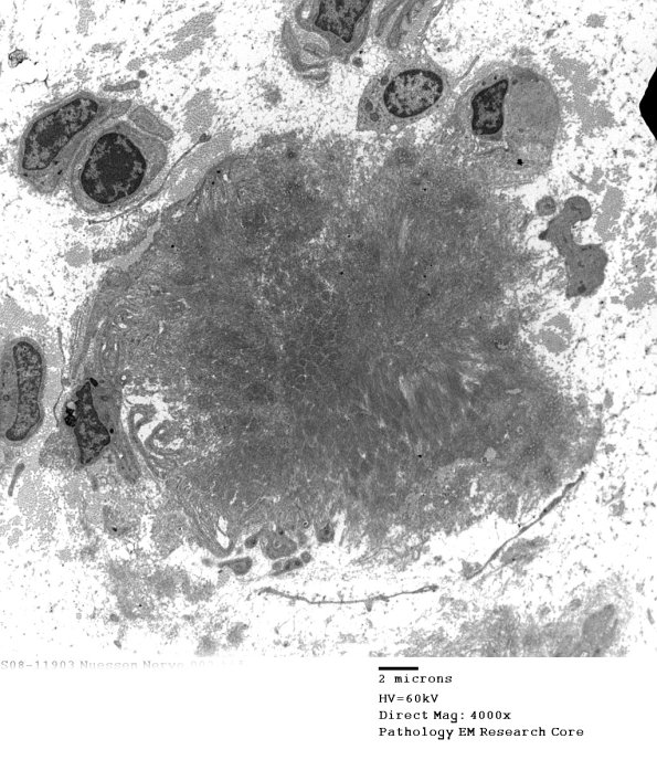
2F1-4 A discrete collection of amyloid is composed of filamentous aggregates. (electron micrographs)


Gallery RSS RSS Feed | Archive View | Login | Powered by Zenphoto