Table of Contents
Washington University Experience | PERIPHERAL NEUROPATHY | 14 AMYLOID NEUROPATHY | 2F12 (Case 2) EM036 copy - Copy
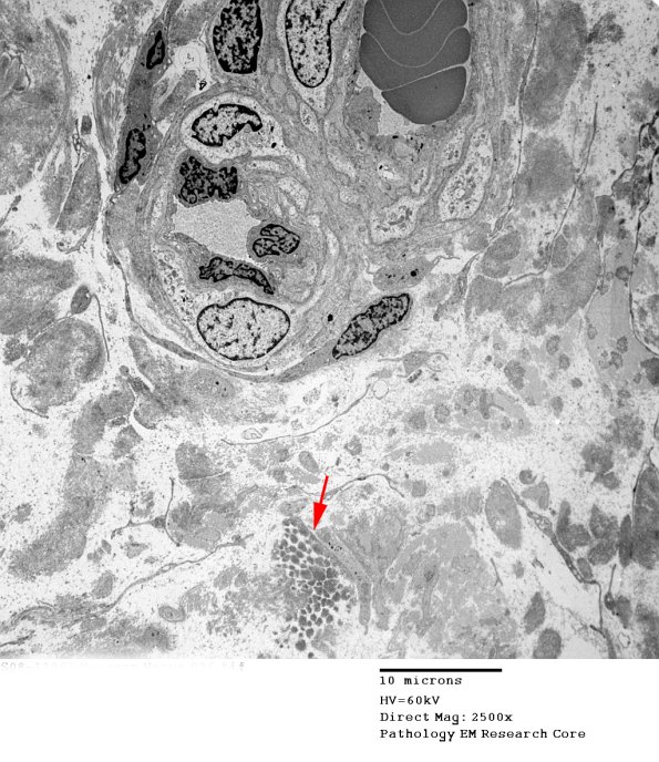
2F12-14 An area (arrow) in which there are collections of processes adjacent to collagen. (electron micrographs)
