Table of Contents



Washington University Experience | PERIPHERAL NEUROPATHY | 14 AMYLOID NEUROPATHY | 2F13 (Case 2) EM038 - Copy

2F13 (Case 2) EM038 - Copy
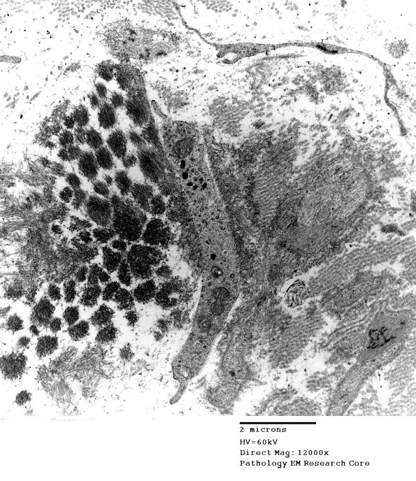
An area (arrow) in which there are collections of amyloid processes adjacent to collagen. (electron micrographs)


Gallery RSS RSS Feed | Archive View | Login | Powered by Zenphoto