Table of Contents
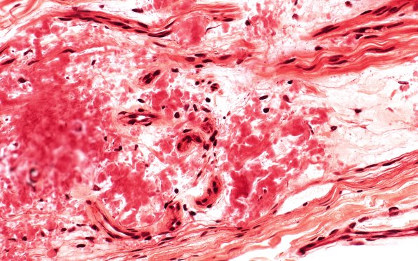
Washington University Experience | PERIPHERAL NEUROPATHY | 14 AMYLOID NEUROPATHY | 3B1 Amyloid neuropathy (Case 3) CR 40X
3B1,2 The amyloid stains strongly with Congo Red (3B1) which polarizes (3B2, many colors, one of which is apple green).
