Table of Contents
Washington University Experience | PERIPHERAL NEUROPATHY | 14 AMYLOID NEUROPATHY | 3D1 Amyloid neuropathy (Case 3) EM 2 - Copy
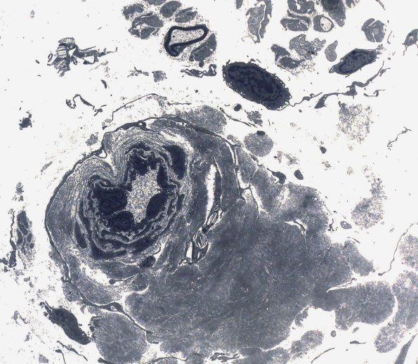
3D The collections of amyloid adjacent to the endoneurial vasculature are asymmetrical and amorphous. (electron micrograph)
