Table of Contents
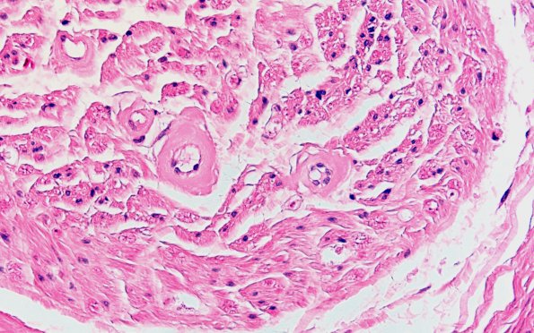
Washington University Experience | PERIPHERAL NEUROPATHY | 14 AMYLOID NEUROPATHY | 4A2 Amyloid Neuropathy (Case 4) H&E 60X
H&E stained sections of the biopsied sural nerve show endoneurial vessels which are thickened, in some cases asymmetrically. (H&E).
