Table of Contents
« prev
next »
Washington University Experience
|
PERIPHERAL NEUROPATHY
|
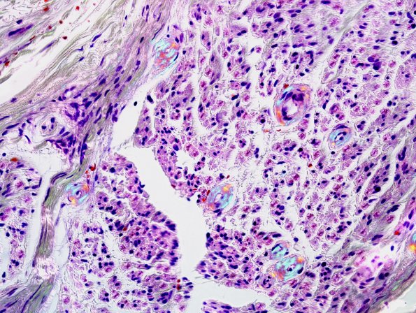
14 AMYLOID NEUROPATHY
|
4C1B-Amyloid-Neuropathy-Case-4-CR-18.jpg
Polarization of image #4C1. (Congo red)
Image Info
Camera Maker:
Olympus Corporation
Camera Model:
DP70
Original Time Taken:
14-07-2016
Shutter Speed:
5/7 sec
ISO Sensitivity:
200
Metering Mode:
Other
Gallery RSS
|
Archive View
|
Login
|
Powered by
Zenphoto