Table of Contents
« prev
next »
Washington University Experience
|
PERIPHERAL NEUROPATHY
|
14 AMYLOID NEUROPATHY
|
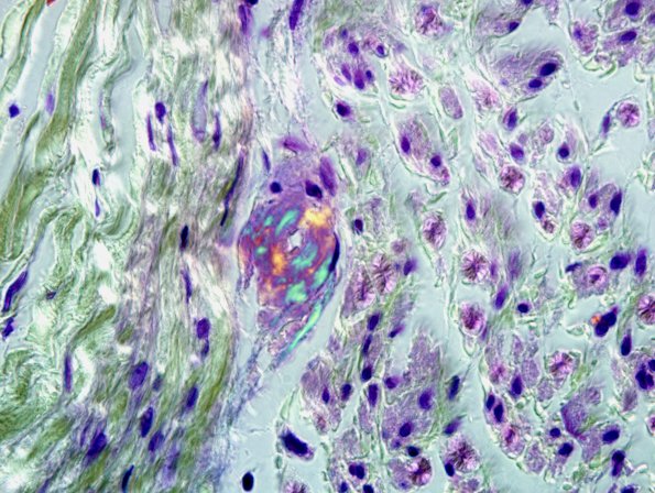
4C2B-Amyloid-Neuropathy-Case-4-CR-25.jpg
Polarization of image 4C2A. (Congo red)
Image Info
Camera Maker:
Olympus Corporation
Camera Model:
DP70
Original Time Taken:
14-07-2016
Shutter Speed:
5 sec
ISO Sensitivity:
200
Metering Mode:
Spot
Gallery RSS
|
Archive View
|
Login
|
Powered by
Zenphoto