Table of Contents
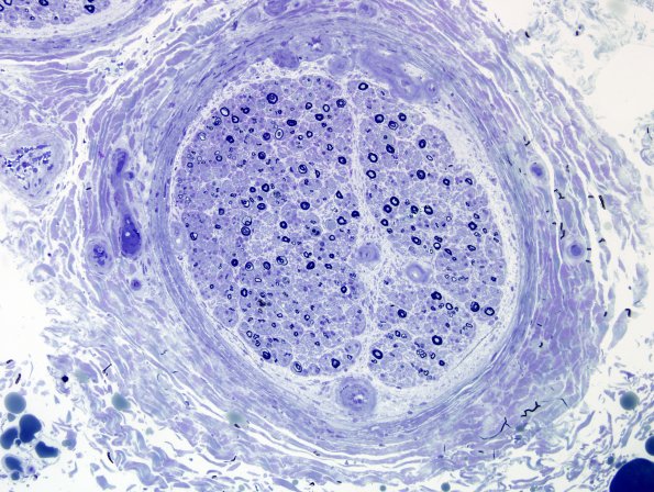
Washington University Experience | PERIPHERAL NEUROPATHY | 14 AMYLOID NEUROPATHY | 4E1-Amyloid-Neuropathy-Case-4-Plastic-11.jpg
Plastic sections show marked loss of both large and small caliber myelinated axons, although small caliber axons appear to be more severely affected. Many axons appear thinly myelinated for their caliber. There is mild interfascicle and intrafascicle variability in the degree of axonal loss. (Plastic section)
