Table of Contents
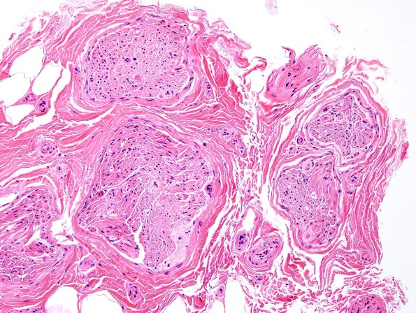
Washington University Experience | PERIPHERAL NEUROPATHY | 14 AMYLOID NEUROPATHY | 5A1-Amyloid-NP-Case-5-H-E-5.jpg
Case 5 History ---- The patient is a 44 year old woman with a clinical suspicion of amyloidosis and neuropathy. Operative procedure: Left sural nerve biopsy. ---- 5A1,2 Multiple endoneurial blood vessels show irregularly thickened walls and endoneurial matrix by pink amorphous material. There is no evidence of vasculitis or inflammation. (H&E)
