Table of Contents
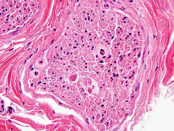
Washington University Experience | PERIPHERAL NEUROPATHY | 14 AMYLOID NEUROPATHY | 5A2-Amyloid-NP-Case-5-H-E-4.jpg
Multiple endoneurial blood vessels show irregularly thickened walls and endoneurial matrix by pink amorphous material. There is no evidence of vasculitis or inflammation. (H&E)
