Table of Contents
« prev
next »
Washington University Experience
|
PERIPHERAL NEUROPATHY
|
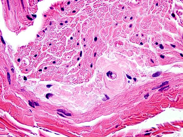
14 AMYLOID NEUROPATHY
|
5A3-Amyloid-NP-Case-5-H-E-6.jpg
Subperineurial amyloid is shown. (H&E)
Image Info
Camera Maker:
Olympus Corporation
Camera Model:
DP70
Original Time Taken:
22-12-2012
Shutter Speed:
10/143 sec
ISO Sensitivity:
200
Metering Mode:
Spot
Gallery RSS
|
Archive View
|
Login
|
Powered by
Zenphoto