Table of Contents
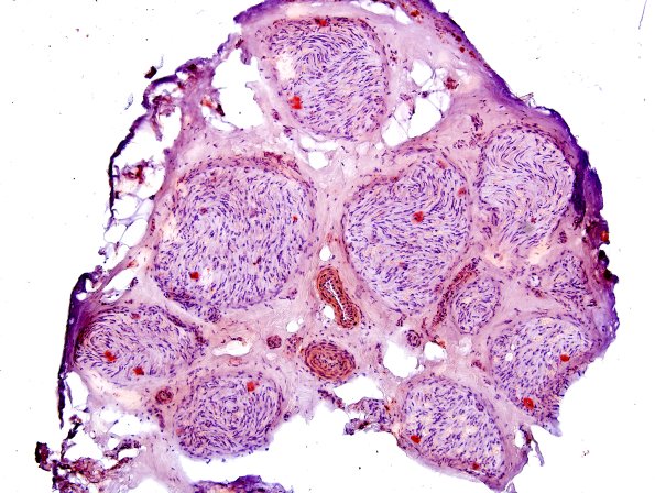
Washington University Experience | PERIPHERAL NEUROPATHY | 14 AMYLOID NEUROPATHY | 5B Amyloid NP (Case 5) Congo Red 4
Congo Red stain demonstrates vascular involvement in this frozen section preparation. (Congo Red, thanks A Pestronk)
