Table of Contents
Washington University Experience | PERIPHERAL NEUROPATHY | 14 AMYLOID NEUROPATHY | 5D1-Amyloid-NP-Case-5-Plastic-3.jpg
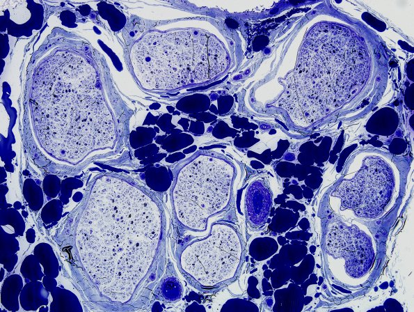
There is marked loss of myelinated axons, both large and small, with little evidence of interfascicular variability of axon density. (Plastic section)
