Table of Contents
Washington University Experience | PERIPHERAL NEUROPATHY | 14 AMYLOID NEUROPATHY | 5D2-Amyloid-NP-Case-5-Plastic-11.jpg
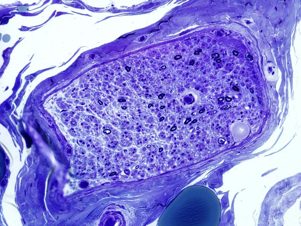
5D2-4 There are frequent endoneurial vessels with irregular thickening of walls and deposition of amorphous amyloid. (Plastic sections)
