Table of Contents
Washington University Experience | PERIPHERAL NEUROPATHY | 14 AMYLOID NEUROPATHY | 5D5-Amyloid-NP-Case-5-Plastic-7.jpg
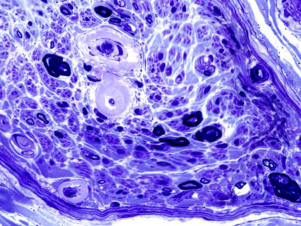
There are frequent endoneurial vessels with irregular thickening of walls and deposition of amorphous amyloid. (Plastic sections)
