Table of Contents
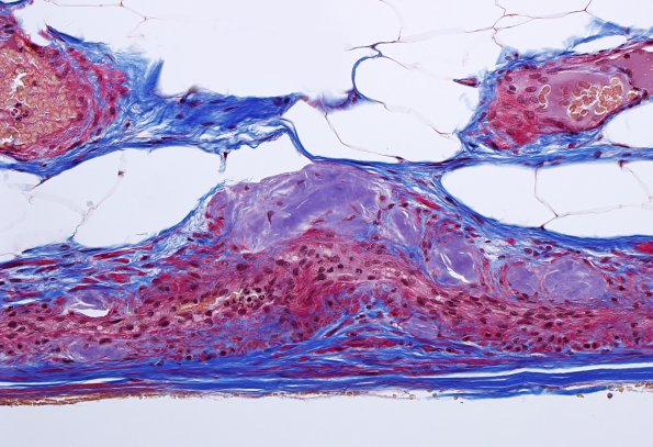
Washington University Experience | PERIPHERAL NEUROPATHY | 14 AMYLOID NEUROPATHY | 6A2-Amyloid-Neuropathy-Case-6-Trichrome-2.jpg
This longitudinal section is stained with H&E (6A1) and trichrome (6A2) which shows a muddy purple stain in comparison to adjacent blue-stained collagen. (Trichrome)
