Table of Contents
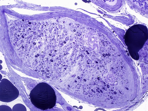
Washington University Experience | PERIPHERAL NEUROPATHY | 14 AMYLOID NEUROPATHY | 6B1-Amyloid-Neuropathy-Case-6-Plastic-2.jpg
One nerve fascicle with unusual collections of amyloid staining vessels as well as adjacent endoneurial space. (Plastic section)
