Table of Contents
Washington University Experience | PERIPHERAL NEUROPATHY | 14 AMYLOID NEUROPATHY | 7D1 Amyloid neuropathy (Case 7) Plastic 6
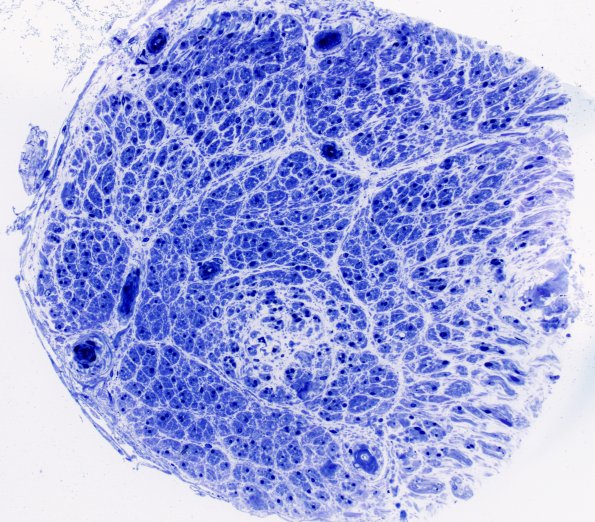
7D1-3 Plastic sections show nearly complete loss of both large and small caliber myelinated axons. There are multiple amorphous light blue material collections in plastic sections, consistent with amyloid deposits, in endoneurium and small microvasculature. There are occasional regenerative clusters and some thinly-myelinated-for-axon-caliber which are regenerative changes. (Plastic sections)
