Table of Contents



Washington University Experience | PERIPHERAL NEUROPATHY | 14 AMYLOID NEUROPATHY | 7E3 (Case 7) EM 036A - Copy

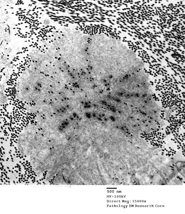
7E3 (Case 7) EM 036A - Copy
7E3,4 An usual collection of amyloid and collagen. (electron micrographs)


Gallery RSS RSS Feed | Archive View | Login | Powered by Zenphoto